- Home
- Companies
- Refined Laser Systems GmbH
- Applications
- Coherent Raman scattering imaging (CRI) ...
Coherent Raman scattering imaging (CRI) for Chemical Industry-Chemical & Pharmaceuticals
The PICUS DUO by Refined Laser Systems is a cutting-edge laser source engineered for coherent Raman scattering (CRS) imaging, specifically optimized for both coherent anti-Stokes Raman scattering (CARS) and stimulated Raman scattering (SRS). CRS is a label-free imaging technique that leverages the interaction of two synchronized laser beams of different colors to probe molecular vibrations within a sample. This approach allows for the detailed visualization of various chemical components without the need for dyes, making it particularly valuable in biomedical and clinical settings. The PICUS DUO is built on low-noise fiber technology, providing sensitive multicolor SRS imaging with shot-noise limited relative intensity noise (RIN) at -157 dBc/Hz across its tuning range. This system enables rapid live and hyperspectral imaging, capable of tuning the excitation wavelengths in merely 5 ms, facilitating the application of CRS in environments where time is critical, such as surgical procedures or extensive research studies.
Coherent Raman scattering imaging (CRI), a chemically selective imaging technique, allows to visualize the distribution of different components in a sample. CRI uses two synchronized laser beams of different colors to probe the molecular vibrations in the sample and does not rely on labeling, e.g. with dyes. This label-free nature lead to its success within the biomedical field and is one of the main motivators for transitioning CRI into clinical settings. Our PICUS DUO is the ideal laser source for both implementations – coherent anti-Stokes Raman scattering (CARS) and stimulated Raman scattering (SRS) imaging – live and hyperspectral.
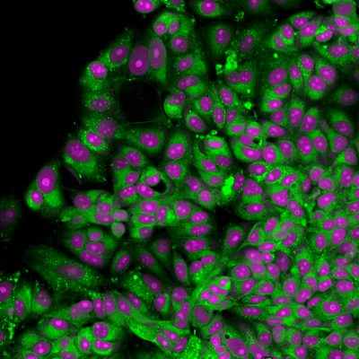
The SRS image besides highlights nuclei and cell bodies of MCF7 cells.
