Adaptiiv Medical Technologies Inc.
- Home
- Companies
- Adaptiiv Medical Technologies Inc.
- Articles
- ABC Medical Center - Post-Mastectomy ...
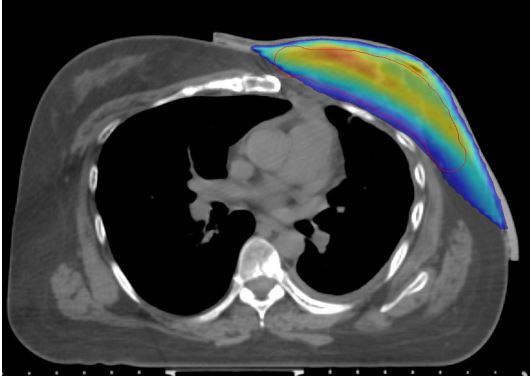
ABC Medical Center - Post-Mastectomy Left Breast EBRT Using 3D Printed Bolus - Case Study
Jan. 11, 2023
Courtesy ofAdaptiiv Medical Technologies Inc.
This case provides an example of how Adaptiiv’s software can be used to generate a customized uniform thickness bolus for an irregular surface region. 3D printed bolus enhances clinical precision, improves operational efficiency, and provides greater access to personalized care.
Most popular related searches
