Union Surgical
- Home
- Companies
- Union Surgical
- Articles
- Distal Radius & Distal Ulna Fractures - ...
Distal Radius & Distal Ulna Fractures - Case Study
Sep. 22, 2022
Courtesy ofUnion Surgical
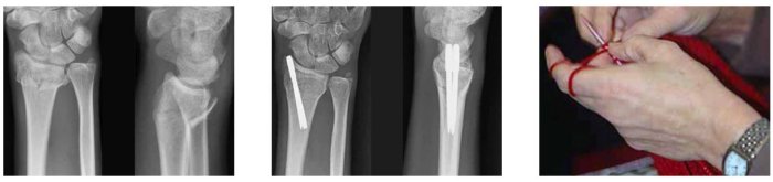
In this case, we see the preoperative radiographs of a 70-year-old, independent woman with medical comorbidities.
Stability was achieved under local MAC, utilizing minimally invasive T-Pin fixation.
Most popular related searches

