- Home
- Companies
- QView Medical
- Products
- QView Medical - Model QVCAD - CAD ...
QView Medical - Model QVCAD -CAD System for 3D Automated Breast Ultrasound
The QVCAD System is indicated for use as an aid to the radiologist during breast screening procedures for women who have negative mammograms but have had a 3D breast ultrasound (ABUS”) because of her dense breast tissue. This multi-modality approach of mammography and breast ultrasound is becoming the preferred screening protocol for women with breast density. QView recognized the value of ABUS but saw the need to improve reading time while preserving diagnostic confidence. With the QView team’s experience in artificial intelligence, they developed sophisticated algorithms and underwent rigorous testing with a comprehensive training set to achieve acceptable performance in diagnostic accuracy. The team developed enhanced functionality of the viewer to improve review times. The result is the QView QVCAD system for 3D Automated Breast Ultrasound.
QVCAD is a software system consisting of two major integrated subsystems;
- The CAD subsystem containing the sophisticated image processing algorithms;
- The Viewer subsystem that formats the ABUS images together with the output of the QView CAD engine for display on the monitor.
The QVCAD system receives input images via a standard DICOM format. The native images from the ABUS system together with the output of the QVCAD CAD Engine are concurrently displayed on the Q-Viewer. Figure 1 shows a schematic of the QVCAD system.
The QVCAD CAD engine employs several image pattern recognition processes and artificial neural networks to detect suspicious areas in the breast. The objective is to distinguish potential breast lesions from normal breast tissue.
The CAD-generated output from the QVCAD system is displayed in two ways:
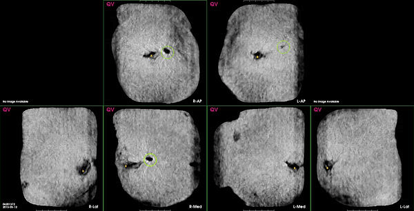
- A QVCAD Navigator image of all ABUS volumes in the study presented in a coronal image format as seen below where CAD has detected possible abnormalities. CAD marks are presented as colored green circles around areas of interest and displayed over the CAD Navigator image. CAD marks are intended to highlight potentially malignant lesions.

2) Hover Mode enables the user to quickly review a localized area of a view by displaying the corresponding original ABUS Coronal and Transverse images adjacent to the CAD Navigator Image for the point where the cursor is hovering. The Hover Mode activates when the cursor is paused over any area of a CAD Navigator Image hover over abnormality.

