NASH & Fibrosis Services
Fast turnaround, accurate data; enabling you to move forward with confidence. Quantitative Digital Pathology provides detailed cell by cell data to enhance decision making in NASH & Fibrosis research. Our dedicated team of image analysis scientists have extensive experience in the accurate quantification of fibrosis, steatosis and inflammation.
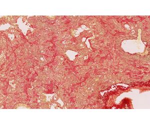
OracleBio’s team are experienced in the quantification of histological stains such as Picrosirius Red or Masson’s Trichrome to measure fibrotic changes in the lung. Within the whole tissue section, we provide accurate segmentation of the normal and lesioned parenchyma, avoiding the prominent vasculature and bronchial structures that can bias the data.
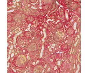
We can efficiently segment the fibrotic kidney into the distinct functional units (glomeruli) and then quantify collagen content within the kidney tissue using the quantification of Masson’s Trichrome or Picrosirius Red IHC staining. Quantifying collagen levels together with cellular content in models of kidney fibrosis is used to determine the effect of drug treatment in kidney fibrosis models.
Liver fibrosis is the excessive accumulation of extracellular matrix proteins including collagen that occurs in most types of chronic liver diseases including non-alcoholic steatohepatitis (NASH) and non-alcoholic fatty liver disease (NAFLD). We provide accurate quantification of advanced collagen and alpha smooth muscle actin (αSMA) deposition to reveal fibrotic changes in the liver. Our services provide highly detailed data which can be used to understand therapeutic response in liver tissue.
