- Home
- Companies
- Graylight Imaging
- Software
- Graylight Imaging - AI-Powered Medical ...
Graylight Imaging - AI-Powered Medical Image Analysis Systems
Graylight Imaging specializes in developing advanced AI technologies for medical image analysis, providing accurate, automatic, and customized software solutions. These solutions extract critical data from patient scans, addressing unique challenges in the medical field. Our team creates sophisticated algorithms that detect, outline, and analyze organs and abnormalities in MRI, CT, PET, and Angio-CT scans. Utilizing both traditional machine learning methods and advanced deep learning techniques, we ensure precision and efficiency in organ contouring, tumor segmentation, and cardiovascular imaging, among other applications. Our solutions streamline processes such as automatic segmentation and measurement, facilitating tasks like RANO and RECIST assessments. We maintain a strong track record in the industry, having ranked highly in competitions like the RSNA-ASNR-MICCAI Brain Tumor Segmentation Challenge. Additionally, our 3D modeling toolkit supports detailed analysis and fluid flow simulations, offering comprehensive capabilities for medical professionals.Accurate. Automatic. Advanced. Custom AI medical image analysis software solutions can provide you with data embedded in patient scans.
At Graylight Imaging we create AI technologies for medicine. We have a proven track record of developing AI medical solutions and AI algorithms designed to address unique challenges.
Different types of input data
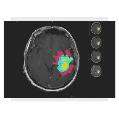
The cutting-edge algorithms we create can detect, outline, and analyse organs, their regions, and abnormalities in MRI, CT, PET, and Angio-CT scans.
Deep and Machine learning
Our engineers and scientists develop state-of-the-art algorithms based on both classical methods such as machine learning, and deep learning techniques.
Organ’s contouring and delineation
By automatically detecting and tracing the boundaries of internal organs and lesions on medical images, algorithms eliminate the time-consuming process of manual contouring.
Tumors segmentation
Based on your requirements, we can design customized automated and semi-automated algorithms to analyze internal organs and lesions.
Medical image analysis in cardiology
Benefit from our competencies in creating AI models designed to precisely outline coronary arteries, analyze cardiovascular imaging & extract medical data.
Automatic segmentation
We create custom cutting-edge algorithms that streamline the segmentation process, allowing radiologists to focus on more complex tasks.
Automatic measurement
Medical image analysis algorithms automatically measure defined organs and lesions. Automated RANO and RECIST are just examples of our capabilities.
Algorithms accuracy and performance
The AI models we create consistently deliver exceptional performance and precision, providing the best analytical output to achieve the best patient outcomes.
