- Home
- Companies
- PathAI, Inc.
- Software
- PathAI - Version PathExplore - ...
PathAI - Version PathExplore -Automated Tissue and Cell Detection Software
PathExploreTM offers unprecedented spatial and cellular resolution of the tumor microenvironment (TME) from H&E images. PathExplore is an AI-powered panel of histopathology features that spatially characterize the tumor microenvironment (TME) with single-cell resolution.
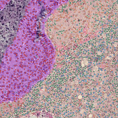
Automated Tissue and Cell Detection
PathExplore’s underlying AI models classify both tissue regions and cell types across the entire image of a digitized H&E slide.
HIFs – Structured, Standardized, and Scalable TME Characterization
The number of cells and their spatial orientation within or near certain tissue regions are delivered as a panel of structured metrics called human interpretable features (HIFs).
Robustly Trained, Trusted by Partners
>6.5 million
pathologist annotations
>66K slides
used for training
120K+ slides
deployed in research to date
15+
scientific presentations and publications
- PathExplore delivers hundreds of standardized, reproducible HIF metrics to unlock insights into TME biology
- Results across large-scale datasets can be achieved in days or weeks rather than months
- PathExplore will continue to grow the number of disease areas and feature sets including nuclear morphology, stromal subtyping, and TLS
- Harmonized features (i.e., Tumor Infiltrating Lymphocytes) across tumor types enables analysis of shared disease pathways and resistance mechanisms
Available across 8 cancer indications for scalable analysis across multiple development programs
Standardized TME spatial features for comparable analyses across eight cancer indications.
Scalable and efficient quantification of millions of cells across the entire H&E image
Improve
Improve quantification of established biomarkers and disease signatures.
Identify
Identify novel histological biomarkers and drivers of therapeutic efficacy.
Apply
Scale research and insights across disease areas and drug programs.

PathAI is now offering academic researchers access to PathExplore`s human interpretable features (HIFs) that have been deployed on publicly available samples from The Cancer Genome Atlas (TcGA). This program allows researchers to access PathExplore HIFs from H&E whole-slide images via our platform and link them with genomic and outcomes data across eight cancer indications: NSCLC, Breast, CRC, Melanoma, Gastric, RCC, PDAC, and Prostate.
This data is free to academic researchers, and we also offer a license for non-academic partners. To learn more and apply to the PathExplore data access program, please contact pathexplore.hifs@pathai.com. If you are an industry-based researcher interested in licensing these data, please reach out to bd@pathai.com
