- Home
- Companies
- Ascelia Pharma AB
- Products
- Orviglance - MR-Imaging of the Liver
Orviglance - MR-Imaging of the Liver
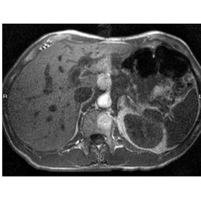
Mangoral is a novel oral imaging agent in development for use in MR-imaging of the liver. Mangoral aims to improve the detection and visualization of focal liver lesions (including liver metastases and primary tumors) in patients with severe kidney impairment. Mangoral is currently in Phase 3 development including the registration-enabling study, SPARKLE.
SIGNIFICANT UNMET MEDICAL NEED IN DETECTING LIVER METASTASES
Early detection and localization of focal liver lesions is critical for optimal patient management. MR imaging with a contrast agent allows for more timely and targeted clinical decisions. This can improve life expectancy for patients with liver cancer or liver metastases.
Manganese chloride tetrahydrate (Mangoral) is the first contrast agent in development for use in liver MR imaging in adults with severely impaired kidney function. These patients are at risk of developing the serious and potentially fatal condition Nephrogenic Systemic Fibrosis (NSF) if they use the gadolinium-based contrast agents currently available.
Mangoral has been granted an Orphan Drug Designation by the US FDA and is currently in Phase 3 development.
CONTRAST AGENTS IMPORTANT FOR LIVER MR1 IMAGING
Contrast agents, or imaging drugs, are used to improve images taken inside the body by magnetic resonance imaging (MRI). x-rays, computed tomography (CT) and ultrasound.
Contrast agents enable the radiologist to distinguish normal from abnormal tissue, which in turn guides diagnosis, treatment decisions, monitoring and planning. This can ultimately improve a patient`s chances of survival. MRI in combination with a contrast agent is regarded as the most sensitive diagnostic method for liver imaging.
GADOLINIUM CONTRAST AGENTS NOT SAFE FOR EVERYONE
The heavy metal gadolinium is the active ingredient in currently approved MRI contrast agents. However, patients with severe kidney impairment (defined as reduced kidney function to the degree that the specific measure `estimated glomerular filtration rate` (eGFR) is below 30 mL/min/1.73 m2) are at risk of developing Nephrogenic Systemic Fibrosis (NSF) if they are exposed to gadolinium.
NSF is a rare, but serious and life-threatening condition that causes extensive waxy thickening and hardening of the skin. It can lead to joint contractures and muscle and fascial fibrosis, which may lead to severe immobility. It can also affect the inner organs. NSF worsens over time and can cause death, which typically results from multi-system failure due to sclerotic transformation of organ systems.
Regulatory agencies, including the FDA and EMA, have released warnings about the use of GBCAs and clinical guidelines provide restrictions for the use in patients with severe renal impairment Therefore, all gadolinium-based contrast agents (GBCAs) have black box warnings in their label for this patient population.
MANGORALAIMSTO BE THE STANDARD OF CARE
Today, the standard of care for a patient with severe kidney impairment who needs liver imaging is MRI without a contrast agent, also called unenhanced MRI. This significantly reduces the ability to find and treat liver metastases, and ultimately patients` chances of survival.
Mangoral, if approved by regulatory agencies, has the potential to be the standard of care for liver imaging of patients with impaired kidney function as it offers high quality imaging compared to an unenhanced MRI.
MRI in combination with a contrast agent is regarded as the most sensitive diagnostic method for liver imaging.
Mangoral is an orally administrated contrast agent It is based on the chemical element manganese, which is a natural trace element in the body. Mangoral also contains an amino acid and a fat-soluble vitamin to increase the absorption of manganese from the small intestine into the portal liver vein. From here, the manganese is transported to the liver where it is taken up by and retained in the normal liver cells, also known as the hepatocytes.
