Huabio
Huabio - Model Claudin18 -HA500131 -Rabbit Polyclonal Antibody
FromHuabio
Western blot analysis of Claudin18 on 293T cell lysates. Proteins were transferred to a PVDF membrane and blocked with 5% BSA in PBS for 1 hour at room temperature. The primary antibody (HA500131, 1/1,000) was used in 5% BSA at room temperature for 2 hours. Goat Anti-Rabbit IgG - HRP Secondary Antibody (HA1001) at 1:200,000 dilution was used for 1 hour at room temperature.
Most popular related searches
polyclonal antibody
western blot analysis
western blot
secondary antibody
primary antibody
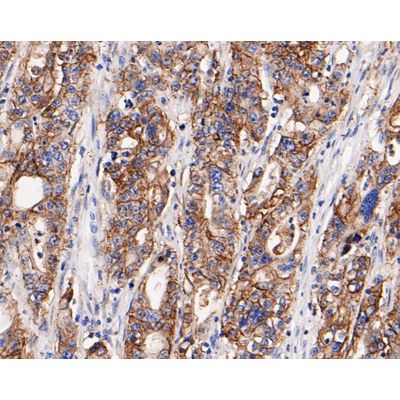
gastric tissue
carcinoma
cell carcinoma
- Product Type Rabbit polyclonal primary
- Product Name Claudin18 Rabbit Polyclonal Antibody (HA500131)
- Immunogen Synthetic peptide within c-terminal human claudin18.
- Host Rabbit
- Positive Control 293T cell lysates, human gastric carcinoma tissue.
- Conjugation Unconjugated
- Clonality Polyclonal
- WB 1:500-1:1,000
- IHC-P:1:100-1:500
- Form Liquid
- Storage Condition Store at +4C after thawing. Aliquot store at -20C. Avoid repeated freeze / thaw cycles.
- Storage Buffer 1*TBS (pH7.4), 0.2% BSA, 50% Glycerol. Preservative: 0.05% Sodium Azide.
- Concentration 1ug/ul
- Purification Immunogen affinity purified.
- Molecular Weight 28 kDa
- Isotype IgG
