- Home
- Companies
- Agilent Technologies, Inc.
- Products
- SureDirect Blood PCR Kit
SureDirect Blood PCR Kit
The SureDirect Blood PCR Kit enables direct DNA amplification from many sample types including: liquid blood, dried blood on paper, serum, and plasma. Inhibitor resistance and throughput, common PCR challenges associated with blood samples, are averted through the activity of a newly engineered Taq. Your workflow is streamlined by eliminating the cumbersome DNA extraction step. SureDirect Blood PCR Kit’s outstanding robust performance will enable you to multiplex up to 3 targets and amplify high GC content (77%) and long amplicons (2.6 kb).
- Save time with this streamline workflow
- No DNA Yield loss from DNA extraction
- Versatile: amplifies from many sample types including: liquid blood, frozen blood, dried blood on paper, serum, plasma….
- Outstanding robust performance: Multiplex up to 3 targets, good for high GC content (77%) and long amplicons (2.6 kb)
Overview
When working with blood samples, researchers face the added challenge of PCR inhibition. Blood samples typically contain multiple inhibitors of PCR - the heme molecule within hemoglobin as well as commonly used anticoagulants such as EDTA and Heparin. Typical blood PCR workflows include time-consuming DNA extraction steps to isolate DNA away from inhibitors. While DNA extraction can be effective, it typically causes a loss of precious sample and introduces the potential for human error and sample mix up or cross-sample contamination.
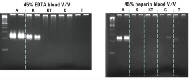
SureDirect Blood PCR Kit enables direct DNA amplification from blood and blood derivatives, streamlining your workflow by eliminating the cumbersome DNA extraction step. This kit features a newly engineered mutant Taq capable of overcoming the most common PCR inhibitors found in blood samples (see Figure 1). With direct amplification from blood, SureDirect Blood PCR Kit eliminates the most laborious and time-consuming DNA extraction process, for accelerated workflows and reduced risk of cross-contamination.

Amplify even the most challenging targets
As an extension of Agilent`s portfolio of robust, high fidelity and long range DNA polymerases, SureDirect Blood PCR Kit consistently amplifies long amplicons (2.6 kb), high GC templates (77%) (see Figure 2), and is capable of multiplexing up to 3 targets in the presence of blood (see Figure 3), EDTA and Heparin. The versatile master mix can be used for direct PCR amplification from fresh liquid and frozen blood, dried blood on filter paper, serum, and plasma. Performance has been validated on blood samples from human, dog, cat, rat, mouse and pig.


Overcome PCR inhibition
SureDirect Blood PCR Kit offers the highest degree of inhibitor resistance (see Figure 1) which enables applications that require larger amounts of blood or blood derivative sample. Due to this level of inhibitor resistance, researchers can amplify their target sequences from samples containing nearly twice as much blood as with other direct from blood amplification products without sign of inhibition, increasing the overall sensitivity of their assay. Since sensitivity becomes increasingly important when attempting to amplify blood-borne pathogens, fetal DNA from maternal blood, or circulating cell-free DNA from blood samples, SureDirect Blood PCR Kit can offer researchers with these types of applications a robust and versatile solution.
