Ncardia Services B.V. products
Ncardia - Atrial Cardiomyocytes
Human-induced pluripotent stem cell (iPSC) derived atrial cardiomyocytes are a powerful tool to improve in vitro investigation of atrial arrhythmias, helping elucidate underlying mechanisms and develop new specific and effective treatments. Ncardia Atrial Cardiomyocytes can be manufactured at the scale needed with high purity and consistency between batches, which ensures minimal variability in large screenings. This cell model is fully characterized by our scientific team and it is amenable for multiple functional assays that will provide an accurate prediction of your compound`s safety and efficacy, increasing the confidence of your therapeutic candidates in early drug discovery.
Ncardia - Ncyte Cardiomyocytes
Human induced pluripotent stem cell (iPSC)-derived cardiomyocytes are an in vitro platform that can provide a better solution for mechanistic analysis, and drug safety and efficacy screenings. Ncyte Cardiomyocytes are fully functional human iPSC-derived ventricular-like cardiomyocytes, obtained using Ncardia’s controlled bioreactor technology. Their relatively slow beat rate enables pacing for electrophysiological research. Ncyte Cardiomyocytes are a clinically relevant in vitro model compatible with an array of functional assays, such us calcium-imaging, contractility force evaluation and metabolism studies.
Ncardia - Human iPSC-derived Cell Models
Human iPSCs can be differentiated into nearly any cell type in the human body and provide meaningful clinical insights when utilized in phenotypic and functional assays. We have established manufacturing processes for more than 10 cell types and we routinely expand into additional lineages. Our differentiation procedures are robust and ready to scale up. Ncardia human iPSC-derived cell models are fully functional, provide reproducible results and are available in a constant supply through our webshop or on-demand manufacturing.
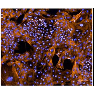
Ncardia - Vascular Smooth Muscle Cells
Vascular smooth muscle cells contract or relax to change blood vessels volume and local blood pressure. Alterations in their functionality are associated with the progression of pathological conditions such as inflammation, atherosclersosis or pulmonary hypertension. In vitro physiologically relevant models can facilitate safety and efficacy screening of therapeutic candidates to prevent drug-induced changes in blood pressure and to find effective treatments. Ncardia Vascular Smooth Muscle cells are human iPSC-derived cells manufactured in a scalable process that provide an in vitro phenotypic model to reliable predict vasoactivity compound response.
Modeling - Established Cell Models - Human iPSC in Vitro Models - Cardiac
Ncardia - Human iPSC-Derived Atrial-Like Cardiomyocytes
Human-induced pluripotent stem cell (iPSC) derived atrial cardiomyocytes are a powerful tool to improve in vitro testing of new treatments for atrial arrhythmias. Our team can manufacture atrial cardiomyocytes at the scale needed from the iPSC that best fits your project, ensuring high purity and consistency between batches. Custom assays can be developed based on this model to support your large screenings with minimal variability.
Ncardia - Human iPSC-Derived Vascular Endothelial Cells
Vascular endothelial cells are involved in multiple processess including blood flow, vascular permeability or angiogenesis. Our team can manufacture endothelial cells from the iPSC line that best fits your project with a controlled and scalable process. Custom assays can be developed with this fully functional cell model to screen drug-induced effects on endothelial barrier permeability or 3D capillary tube formation.
Ncardia - Human iPSC-Derived Vascular Smooth Muscle Cells
Alterations in the functionality of vascular smooth muscle cells are associated with the progression of pathological conditions such as inflammation, atherosclersosis or pulmonary hypertension. Our team manufactures, at scale, vascular smooth muscle cells derived from the iPSC line that best fits your project. This in vitro model provides reliable predictions on vasoactivity compound-induced responses and can be used for efficacy and safety screenings with several Ncardia assays.
Modeling - Established Cell Models - Human iPSC in Vitro Models - Neural
Ncardia - Human iPSC-Derived Astrocytes
Astrocytes are essential players in neurodegenerative disease progression providing a valuable tool for drug discovery and disease modeling. Human iPSC-derived astrocytes generated with our standardized process express key identity markers and support co-culture with human iPSC-derived neurons. Our team can manufacture astrocytes at scale from the iPSC that best fits your project or work with off-the-shelf Ncyte Astrocytes to model relevant disease-phenotypes and support your drug discovery campaigns.
Ncardia - Human iPSC-Derived Cortical Neurons
Cortical neurons play a vital role in many neurodegenerative diseases, including Alzheimer’s disease. Human iPSC-derived cortical neurons can be co-cultured with astrocytes and microglia to model neurodegenerative diseases. Our team can manufacture cortical neurons at scale from the iPSC line that best fits your project or work with off-the-shelf Ncyte Cortical Neurons to support your drug discovery campaigns.
Screening - Efficacy
Ncardia - Angiogenesis
Angiogenesis, the sprouting of new blood vessels from pre-existing vasculature, plays an important role in the maintenance of body homeostasis and the progression of cancer and Alzheimer’s disease, among others. Studying vessel formation can help identify and validate targets and candidates for treatment of a variety of diseases. Using Ncardia’s human iPSC-derived endothelial cells, we developed a capillary-on-a-chip model*, that is compatible with automated cell plating and imaging systems to enable efficient compound screening.
